1551 informacija, įmonių katalogas, rekvizitai
EDIDENTA, UAB - estetinis plombavimas, dantų balinimas, higiena, protezavimas, implantacija Trušeliai, Klaipėda Tikslinti duomenis
EDIDENTA, UAB - estetinis plombavimas, dantų balinimas, higiena, protezavimas, implantacija Trušeliai, Klaipėda
Odontologijos klinika, odontologai Trušeliuose. Estetinis plombavimas, dantų balinimas, burnos higiena, protezavimas, implantacija.
Karališkių g. 1, LT-92338, TRUŠELIAI SENDVARIO SEN. KLAIPĖDOS R.
304045469
2015-05-19
iki 10 darbuotojų
1 721,46 € (2026 m. 03 mėn.)
1 524,53 € (2026 m. 03 mėn.)
212 220 €, pelnas po mokesčių 8,5 % (2024 m.)
Papildoma informacija ir kontaktai
Darbo laikas: I-V: 09.00 - 18.00.
UAB EDIDENTA - odontologijos paslaugos: dantų gydymas ir profilaktika, burnos higiena, dantų balinimas, estetinis priekinių dantų plombavimas, protezavimas įvairių rūšių protezais, dantų implantacija, dantų šalinimas.
Odontologijos klinika, odontologai Gargžduose.
Terapinis dantų gydymas ir profilaktika.
Dantų šaknų kanalų gydymas (endodontija), endodontinis kanalų gydymas mikroskopu.
Dantų chirurgija (dantų šalinimas, sinuso pakėlimas, protinių dantų šalinimas).
Danties implantacija, STRAUMANN implantai, implantavimas, dantų atkūrimas, All-on-4 metodika.
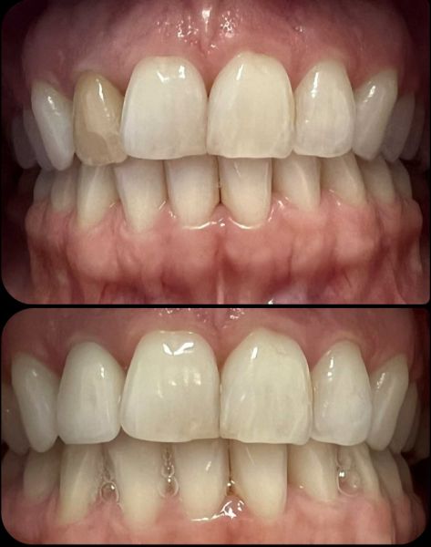
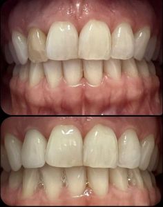
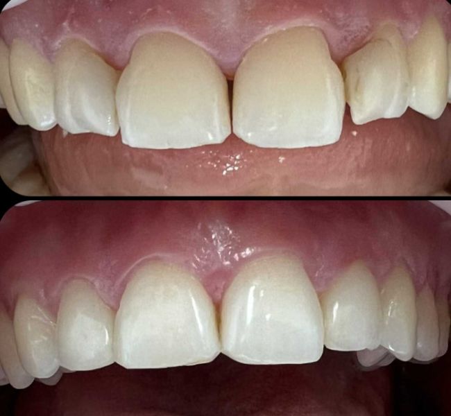
Estetinis plombavimas, atkuriant dantų formą, spalvą bei skaidrumą, estetinis protezavimas, estetinė dantų restauracija.
Bemetalė keramika, metalo keramika, bemetalės keramikos vainikėliai, atraminiai protezai, dalinai, pilnai išimami protezai, minkštos dantų plokštelės, protezavimas, protezavimas ant implantų.
Profesionali burnos higiena. Dantų balinimas, balinimas kapomis.
Vaikų dantų gydymas, vaikų odontologas Gargžduose.
Veiklos sritys
-
Odontologijos paslaugos, odontologai
- Burnos higiena
- Chirurginis gydymas
- Dantų balinimas, priemonės
- Dantų implantai
- Dantų implantavimas
- Dantų plokštelės
- Dantų protezai
- Dantų rovimas
- Dantų tiesinimas
- Endodontinis gydymas
- Estetinis plombavimas
- Odontologai
- Odontologijos klinikos
- Odontologijos paslaugos
- Ortodontai
- Periodonto gydymas
- Plombavimas
- Protezavimas
- Vaikų dantų gydymas